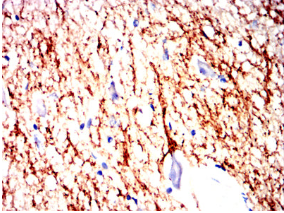
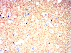
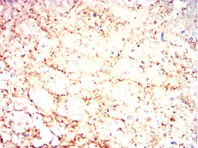
VAMP2 Mouse Monoclonal antibody[5A2C7]

AccuSift
SYB2; VAMP-2; NEDHAHM
SKU Name Unit Price Delivery QTY
AC3791 VAMP2 Mouse Monoclonal antibody[5A2C7] 100ug $367 10days
AC3791 VAMP2 Mouse Monoclonal antibody[5A2C7] 200ug $660.6 10days

The protein encoded by this gene is a member of the vesicle-associated membrane protein (VAMP)/synaptobrevin family. Synaptobrevins/VAMPs, syntaxins, and the 25-kD synaptosomal-associated protein SNAP25 are the main components of a protein complex involved in the docking and/or fusion of synaptic vesicles with the presynaptic membrane. This gene is thought to participate in neurotransmitter release at a step between docking and fusion. The protein forms a stable complex with syntaxin, synaptosomal-associated protein, 25 kD, and synaptotagmin. It also forms a distinct complex with synaptophysin. It is a likely candidate gene for familial infantile myasthenia (FIMG) because of its map location and because it encodes a synaptic vesicle protein of the type that has been implicated in the pathogenesis of FIMG.

   


Aliases:    SYB2; VAMP-2; NEDHAHM    

Entrez GeneID:    6844    

Swissprot :   P63027    

WB Predicted band size:    12.7kDa    

Host/Isotype:    Mouse IgG1    

Species Reactivity:    Human, Mouse, Monkey, Rat    

Immunogen:    Purified recombinant fragment of human VAMP2 (AA: 2-89aa) expressed in E. Coli.    


Operation

IHC    1/200 - 1/1000    

FCM    1/200 - 1/400    

ELISA    1/10000    

References