USP7 Mouse Monoclonal antibody[6A3F3]

AccuSift
TEF1; HAUSP; HAFOUS
SKU Name Unit Price Delivery QTY
AC3789 USP7 Mouse Monoclonal antibody[6A3F3] 100ug $367 10days
AC3789 USP7 Mouse Monoclonal antibody[6A3F3] 200ug $660.6 10days

The protein encoded by this gene belongs to the peptidase C19 family, which includes ubiquitinyl hydrolases. This protein deubiquitinates target proteins such as p53 (a tumor suppressor protein) and WASH (essential for endosomal protein recycling), and regulates their activities by counteracting the opposing ubiquitin ligase activity of proteins such as HDM2 and TRIM27, involved in the respective process. Mutations in this gene have been implicated in a neurodevelopmental disorder. [provided by RefSeq, Mar 2016]


Aliases:    TEF1; HAUSP; HAFOUS    

Entrez GeneID:    7874    

Swissprot :   Q93009    

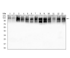
WB Predicted band size:    128kDa    

Host/Isotype:    Mouse IgG2b    

Species Reactivity:    Human, Mouse, Rat, Monkey    

Immunogen:    Purified recombinant fragment of human USP7 (AA:1-208) expressed in E. Coli.    


Operation

WB    1/500 - 1/2000    

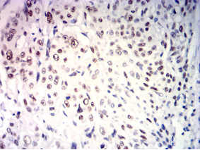
IHC    1/200 - 1/1000    

IF/ICC    1/200 - 1/1000    

FCM    1/200 - 1/400    

ELISA    1/10000    

References