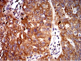
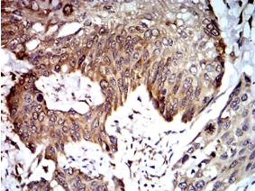
UFD1L Mouse Monoclonal antibody[4F11A]

AccuSift
UFD1
SKU Name Unit Price Delivery QTY
AC3771 UFD1L Mouse Monoclonal antibody[4F11A] 100ug $367 10days
AC3771 UFD1L Mouse Monoclonal antibody[4F11A] 200ug $660.6 10days

The protein encoded by this gene forms a complex with two other proteins, nuclear protein localization-4 and valosin-containing protein, and this complex is necessary for the degradation of ubiquitinated proteins. In addition, this complex controls the disassembly of the mitotic spindle and the formation of a closed nuclear envelope after mitosis. Mutations in this gene have been associated with Catch 22 syndrome as well as cardiac and craniofacial defects. Alternative splicing results in multiple transcript variants encoding different isoforms. A related pseudogene has been identified on chromosome 18.


Aliases:    UFD1    

Entrez GeneID:    7353    

Swissprot :   Q92890    

WB Predicted band size:    34.5kDa    

Host/Isotype:    Mouse IgG1    

Species Reactivity:    Human    

Immunogen:    Purified recombinant fragment of human UFD1L (AA: 208-307) expressed in E. Coli.    


Operation

IHC    1/200 - 1/1000    

IF/ICC    1/200 - 1/1000    

ELISA    1/10000    

References