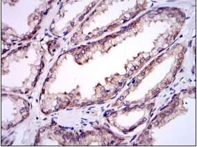
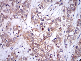
UBE2I Mouse Monoclonal antibody[1B10D]

AccuSift
P18; UBC9; C358B7.1
SKU Name Unit Price Delivery QTY
AC3764 UBE2I Mouse Monoclonal antibody[1B10D] 100ug $367 10days
AC3764 UBE2I Mouse Monoclonal antibody[1B10D] 200ug $660.6 10days

The modification of proteins with ubiquitin is an important cellular mechanism for targeting abnormal or short-lived proteins for degradation. Ubiquitination involves at least three classes of enzymes: ubiquitin-activating enzymes, or E1s, ubiquitin-conjugating enzymes, or E2s, and ubiquitin-protein ligases, or E3s. This gene encodes a member of the E2 ubiquitin-conjugating enzyme family. Four alternatively spliced transcript variants encoding the same protein have been found for this gene.


Aliases:    P18; UBC9; C358B7.1    

Entrez GeneID:    7329    

Swissprot :   P63279    

WB Predicted band size:    18kDa    

Host/Isotype:    Mouse IgG1    

Species Reactivity:    Human,Monkey    

Immunogen:    Purified recombinant fragment of human UBE2I expressed in E. Coli.    


Operation

WB    1/500 - 1/2000    

IHC    1/200 - 1/1000    

IF/ICC    1/200 - 1/1000    

FCM    1/200 - 1/400    

ELISA    1/10000    

References