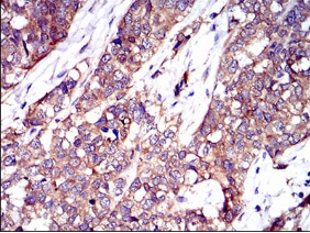
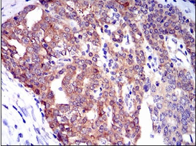
TWF1 Mouse Monoclonal antibody[7C11U]

AccuSift
A6; PTK9; MGC23788; MGC41876
SKU Name Unit Price Delivery QTY
AC3751 TWF1 Mouse Monoclonal antibody[7C11U] 100ug $367 10days
AC3751 TWF1 Mouse Monoclonal antibody[7C11U] 200ug $660.6 10days

This gene encodes twinfilin, an actin monomer-binding protein conserved from yeast to mammals. Studies of the mouse counterpart suggest that this protein may be an actin monomer-binding protein, and its localization to cortical G-actin-rich structures may be regulated by the small GTPase RAC1.


Aliases:    A6; PTK9; MGC23788; MGC41876    

Entrez GeneID:    5756    

Swissprot:    Q12792    

WB Predicted band size:    40.3kDa    

Host/Isotype:    Mouse IgG1    

Species Reactivity:    Human    

Immunogen:    Purified recombinant fragment of human TWF1 (AA: 335-384 ) expressed in E. Coli.    


Operation

IHC    1/200 - 1/1000    

IF/ICC    1/100    

FCM    1/200 - 1/400    

ELISA    1/10000    

References