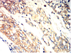
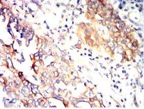
TUBB1 Mouse Monoclonal antibody[4D4G6]

AccuSift
M40; TUBB1; TUBB5; CDCBM6; CSCSC1; OK/SW-cl.56
SKU Name Unit Price Delivery QTY
AC3745 TUBB1 Mouse Monoclonal antibody[4D4G6] 100ug $367 10days
AC3745 TUBB1 Mouse Monoclonal antibody[4D4G6] 200ug $660.6 10days

This gene encodes a member of the beta tubulin protein family. Beta tubulins are one of two core protein families (alpha and beta tubulins) that heterodimerize and assemble to form microtubules. This protein is specifically expressed in platelets and megakaryocytes and may be involved in proplatelet production and platelet release. A mutations in this gene is associated with autosomal dominant macrothrombocytopenia. Two pseudogenes of this gene are found on chromosome Y.


Aliases:    M40; TUBB1; TUBB5; CDCBM6; CSCSC1; OK/SW-cl.56;β Tubulin    

Entrez GeneID:    203068    

Swissprot :   P07437    

WB Predicted band size:    50.3kDa    

Host/Isotype:    Mouse IgG1    

Species Reactivity:    Human, Mouse, Monkey    

Immunogen:    Purified recombinant fragment of human TUBB1 (AA: 1-444) expressed in E. Coli.    


Operation

WB    1/1000 - 1/2000    

IHC    1/200 - 1/1000    

IF/ICC    1/200 - 1/1000    

FCM    1/200 - 1/400    

ELISA    1/10000    

References