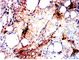
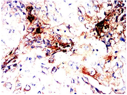
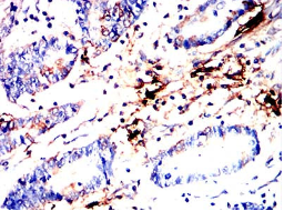
TPSAB1 Mouse Monoclonal antibody[1B2E6]

AccuSift
TPS1; TPS2; TPSB1; TPSB2; Tryptase-2
SKU Name Unit Price Delivery QTY
AC3709 TPSAB1 Mouse Monoclonal antibody[1B2E6] 100ug $367 10days
AC3709 TPSAB1 Mouse Monoclonal antibody[1B2E6] 200ug $660.6 10days

Tryptases comprise a family of trypsin-like serine proteases, the peptidase family S1. Tryptases are enzymatically active only as heparin-stabilized tetramers, and they are resistant to all known endogenous proteinase inhibitors. Several tryptase genes are clustered on chromosome 16p13.3. These genes are characterized by several distinct features. They have a highly conserved 3' UTR and contain tandem repeat sequences at the 5' flank and 3' UTR which are thought to play a role in regulation of the mRNA stability. These genes have an intron immediately upstream of the initiator Met codon, which separates the site of transcription initiation from protein coding sequence. This feature is characteristic of tryptases but is unusual in other genes. The alleles of this gene exhibit an unusual amount of sequence variation, such that the alleles were once thought to represent two separate genes, alpha and beta 1. Beta tryptases appear to be the main isoenzymes expressed in mast cells; whereas in basophils, alpha tryptases predominate. Tryptases have been implicated as mediators in the pathogenesis of asthma and other allergic and inflammatory disorders.


Aliases:    TPS1; TPS2; TPSB1; TPSB2; Tryptase-2    

Entrez GeneID :   7177    

Swissprot:    Q15661      

WB Predicted band size:    30.5kDa    

Host/Isotype:    Mouse IgG1    

Species Reactivity:    Human    

Immunogen:    Purified recombinant fragment of human TPSAB1 (AA: 31-275) expressed in E. Coli.    


Operation

IHC    1/200 - 1/1000    

IF/ICC    1/200 - 1/1000    

FCM    1/200 - 1/400    

ELISA    1/10000    

References