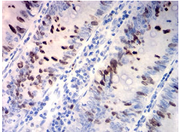
TOP2A Mouse Monoclonal antibody[6D4B2]

AccuSift
TOP2; TP2A
SKU Name Unit Price Delivery QTY
AC3706 TOP2A Mouse Monoclonal antibody[6D4B2] 100ug $367 10days
AC3706 TOP2A Mouse Monoclonal antibody[6D4B2] 200ug $660.6 10days

This gene encodes a DNA topoisomerase, an enzyme that controls and alters the topologic states of DNA during transcription. This nuclear enzyme is involved in processes such as chromosome condensation, chromatid separation, and the relief of torsional stress that occurs during DNA transcription and replication. It catalyzes the transient breaking and rejoining of two strands of duplex DNA which allows the strands to pass through one another, thus altering the topology of DNA. Two forms of this enzyme exist as likely products of a gene duplication event. The gene encoding this form, alpha, is localized to chromosome 17 and the beta gene is localized to chromosome 3. The gene encoding this enzyme functions as the target for several anticancer agents and a variety of mutations in this gene have been associated with the development of drug resistance. Reduced activity of this enzyme may also play a role in ataxia-telangiectasia.


Aliases:    TOP2; TP2A    

Entrez GeneID:    7153    

Swissprot :   P11388    

WB Predicted band size:    174.4kDa    

Host/Isotype:    Mouse IgG1    

Species Reactivity:    Human    

Immunogen:    Purified recombinant fragment of human TOP2A (AA: 1100-1530) expressed in E. Coli.    


Operation

WB    1/500 - 1/2000    

IHC    1/200 - 1/1000    

ELISA    1/10000    

References