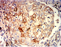
TNFSF9 Mouse Monoclonal antibody[6H10B]

AccuSift
CD137L; TNLG5A; 4-1BB-L
SKU Name Unit Price Delivery QTY
AC3697 TNFSF9 Mouse Monoclonal antibody[6H10B] 100ug $367 10days
AC3697 TNFSF9 Mouse Monoclonal antibody[6H10B] 200ug $660.6 10days

The protein encoded by this gene is a cytokine that belongs to the tumor necrosis factor (TNF) ligand family. This transmembrane cytokine is a bidirectional signal transducer that acts as a ligand for TNFRSF9/4-1BB, which is a costimulatory receptor molecule in T lymphocytes. This cytokine and its receptor are involved in the antigen presentation process and in the generation of cytotoxic T cells. The receptor TNFRSF9/4-1BB is absent from resting T lymphocytes but rapidly expressed upon antigenic stimulation. The ligand encoded by this gene, TNFSF9/4-1BBL, has been shown to reactivate anergic T lymphocytes in addition to promoting T lymphocyte proliferation. This cytokine has also been shown to be required for the optimal CD8 responses in CD8 T cells. This cytokine is expressed in carcinoma cell lines, and is thought to be involved in T cell-tumor cell interaction.


Aliases:    CD137L; TNLG5A; 4-1BB-L    

Entrez GeneID:    8744    

Swissprot:    P41273    

WB Predicted band size:    27kDa    

Host/Isotype :   Mouse IgG2b    

Species Reactivity:    Human    

Immunogen:    Purified recombinant fragment of human TNFSF9 (AA: Extra(50-254)) expressed in E. Coli.    


Operation

IHC    1/200 - 1/1000    

IF/ICC    1/200 - 1/1000    

FCM    1/200 - 1/400    

ELISA    1/10000    

References