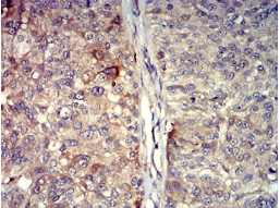
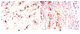
TNFSF11 Mouse Monoclonal antibody[8A7B9]

AccuSift
CD254; ODF; OPGL; sOdf; OPTB2; RANKL; TNLG6B; TRANCE; hRANKL2
SKU Name Unit Price Delivery QTY
AC3694 TNFSF11 Mouse Monoclonal antibody[8A7B9] 100ug $367 10days
AC3694 TNFSF11 Mouse Monoclonal antibody[8A7B9] 200ug $660.6 10days

This gene encodes a member of the tumor necrosis factor (TNF) cytokine family which is a ligand for osteoprotegerin and functions as a key factor for osteoclast differentiation and activation. This protein was shown to be a dentritic cell survival factor and is involved in the regulation of T cell-dependent immune response. T cell activation was reported to induce expression of this gene and lead to an increase of osteoclastogenesis and bone loss. This protein was shown to activate antiapoptotic kinase AKT/PKB through a signaling complex involving SRC kinase and tumor necrosis factor receptor-associated factor (TRAF) 6, which indicated this protein may have a role in the regulation of cell apoptosis. Targeted disruption of the related gene in mice led to severe osteopetrosis and a lack of osteoclasts. The deficient mice exhibited defects in early differentiation of T and B lymphocytes, and failed to form lobulo-alveolar mammary structures during pregnancy. Two alternatively spliced transcript variants have been found.


Aliases:    CD254; ODF; OPGL; sOdf; OPTB2; RANKL; TNLG6B; TRANCE; hRANKL2    

Entrez GeneID:    8600    

Swissprot:    O14788    

WB Predicted band size:    35.5kDa    

Host/Isotype:    Mouse IgG1    

Species Reactivity:    Human,Mouse,Rat,Monkey,Rabbit    

Immunogen:    Purified recombinant fragment of human TNFSF11 (AA: 74-308) expressed in E. Coli.    


Operation

WB    1/500 - 1/2000    

IHC    1/100 - 1/500    

IF/ICC    1/50 - 1/500    

FCM    1/200 - 1/400    

ELISA    1/10000    

References