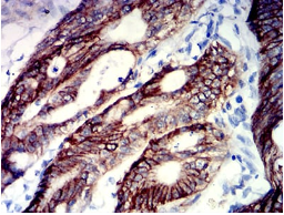
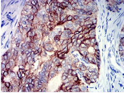
TNFRSF18 Mouse Monoclonal antibody[4H2D6]

AccuSift
AITR; GITR; CD357; GITR-D
SKU Name Unit Price Delivery QTY
AC3685 TNFRSF18 Mouse Monoclonal antibody[4H2D6] 100ug $367 10days
AC3685 TNFRSF18 Mouse Monoclonal antibody[4H2D6] 200ug $660.6 10days

This gene encodes a member of the TNF-receptor superfamily. The encoded receptor has been shown to have increased expression upon T-cell activation, and it is thought to play a key role in dominant immunological self-tolerance maintained by CD25(+)CD4(+) regulatory T cells. Knockout studies in mice also suggest the role of this receptor is in the regulation of CD3-driven T-cell activation and programmed cell death. Three alternatively spliced transcript variants of this gene encoding distinct isoforms have been reported.


Aliases:    AITR; GITR; CD357; GITR-D    

Entrez GeneID:    8784    

Swissprot:    Q9Y5U5       

WB Predicted band size:    26kDa    

Host/Isotype:    Mouse IgG1    

Species Reactivity:    Human    

Immunogen:    Purified recombinant fragment of human TNFRSF18 (AA: extra 26-162) expressed in E. Coli.    

Operation

IHC    1/200 - 1/1000    

FCM    1/200 - 1/400    

ELISA    1/10000    

References