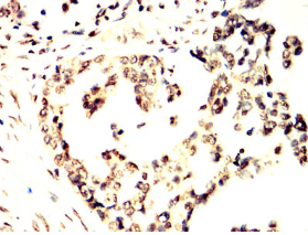
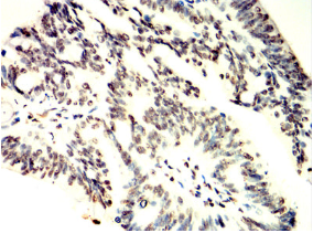
TCF7 Mouse Monoclonal antibody[1B4E9]

AccuSift
TCF-1
SKU Name Unit Price Delivery QTY
AC3614 TCF7 Mouse Monoclonal antibody[1B4E9] 100ug $367 10days
AC3614 TCF7 Mouse Monoclonal antibody[1B4E9] 200ug $660.6 10days

This gene encodes a member of the T-cell factor/lymphoid enhancer-binding factor family of high mobility group (HMG) box transcriptional activators. This gene is expressed predominantly in T-cells and plays a critical role in natural killer cell and innate lymphoid cell development. The encoded protein forms a complex with beta-catenin and activates transcription through a Wnt/beta-catenin signaling pathway. Mice with a knockout of this gene are viable and fertile, but display a block in T-lymphocyte differentiation. Alternative splicing results in multiple transcript variants. Naturally-occurring isoforms lacking the N-terminal beta-catenin interaction domain may act as dominant negative regulators of Wnt signaling.


Aliases:    TCF-1    

Entrez GeneID:    6932    

Swissprot :   P36402    

WB Predicted band size:   41.6kDa    

Host/Isotype:    Mouse IgG1    

Species Reactivity:    Human    

Immunogen:    Purified recombinant fragment of human TCF7 (AA: 168-358) expressed in E. Coli.    


Operation

IHC    1/200 - 1/1000    

IF/ICC    N/A    

FCM    1/200 - 1/400    

ELISA    1/10000    

References