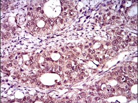
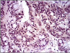
TFT Mouse Monoclonal antibody[1H9A2]

AccuSift
SKU Name Unit Price Delivery QTY
AC3602 TFT Mouse Monoclonal antibody[1H9A2] 100ug $367 10days
AC3602 TFT Mouse Monoclonal antibody[1H9A2] 200ug $660.6 10days

The protein encoded by this gene is an embryonic nuclear transcription factor that binds to a specific DNA element, the palindromic T-site. It binds through a region in its N-terminus, called the T-box, and effects transcription of genes required for mesoderm formation and differentiation. The protein is localized to notochord-derived cells.


Aliases:    TFT    

Entrez GeneID:    6862    

Swissprot :   O15178    

WB Predicted band size:    47.4kDa    

Host/Isotype:    Mouse IgG1    

Species Reactivity:    Human    

Immunogen:    Purified recombinant fragment of human T (AA: 257-309 ) expressed in E. Coli.    

Operation

WB    1/500 - 1/2000    

IHC    1/200 - 1/1000    

FCM    1/200 - 1/400    

ELISA    1/10000    

References