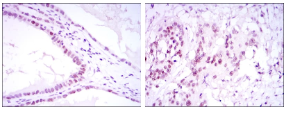
SUZ12 Mouse Monoclonal antibody[3D10C]

AccuSift
CHET9; JJAZ1; KIAA0160; SUZ12
SKU Name Unit Price Delivery QTY
AC3590 SUZ12 Mouse Monoclonal antibody[3D10C] 100ug $367 10days
AC3590 SUZ12 Mouse Monoclonal antibody[3D10C] 200ug $660.6 10days

This zinc finger gene has been identified at the breakpoints of a recurrent chromosomal translocation reported in endometrial stromal sarcoma. Recombination of these breakpoints results in the fusion of this gene and JAZF1. The protein encoded by this gene contains a zinc finger domain in the C terminus of the coding region. (Provided by RefSeq) SUZ12 is overexpressed in several human tumors, including tumors of the colon, breast and liver.Tissue specificity: Overexpressed in breast and colon cancer.


Aliases:    CHET9; JJAZ1; KIAA0160; SUZ12    

Entrez GeneID:    23512    

Swissprot:    Q15022    

WB Predicted band size:    83.1kDa    

Host/Isotype:    Mouse IgG1    

Species Reactivity:    Human    

Immunogen:    Purified recombinant fragment of human SUZ12 expressed in E. Coli.    

Operation

IHC    1/200 - 1/1000    

ELISA    1/10000    

References