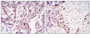
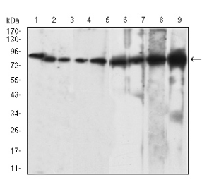
STAT3 Mouse Monoclonal antibody[3B5E6]

AccuSift
APRF; HIES; FLJ20882; MGC16063; STAT3
SKU Name Unit Price Delivery QTY
AC3579 STAT3 Mouse Monoclonal antibody[3B5E6] 100ug $367 10days
AC3579 STAT3 Mouse Monoclonal antibody[3B5E6] 200ug $660.6 10days

The Stat3 transcription factor is an important signaling molecule for many cytokines and growth-factor receptors and is required for murine fetal development . Stat3 is constitutively activated in a number of human tumors and possesses oncogenic potential and anti-apoptotic activities. Stat3 is activated by phosphorylation at Tyr705, which induces dimerization, nuclear translocation and DNA binding. Transcriptional activation seems to be regulated by phosphorylation at Ser727 through the MAPK or mTOR pathways. Stat3 isoform expression appears to reflect biological function as the relative expression levels of Stat3a (86 kDa) and Stat3.


Aliases:    APRF; HIES; FLJ20882; MGC16063; STAT3    

Entrez GeneID:    6774    

Swissprot:    P40763    

WB Predicted band size:    88kDa    

Host/Isotype:    Mouse IgG1    

Species Reactivity:    Human,Mouse,Monkey    

Immunogen:    Purified recombinant fragment of human STAT3 expressed in E. Coli.    

Operation

WB    1/500-1/1000    

IHC    1/200 - 1/1000    

IF/ICC    1/200 - 1/1000    

ELISA    1/10000    

References