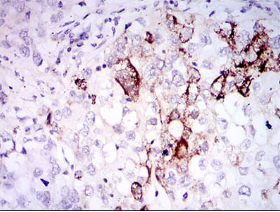
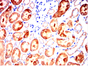
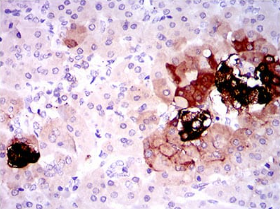
SST Mouse Monoclonal antibody[7G5E7]

AccuSift
SMST
SKU Name Unit Price Delivery QTY
AC3575 SST Mouse Monoclonal antibody[7G5E7] 100ug $367 10days
AC3575 SST Mouse Monoclonal antibody[7G5E7] 200ug $660.6 10days

The preproprotein encoded by this gene. Somatostatin is expressed throughout the body and inhibits the release of numerous secondary hormones by binding to high-affinity G-protein-coupled somatostatin receptors. This hormone is an important regulator of the endocrine system through its interactions with pituitary growth hormone, thyroid stimulating hormone, and most hormones of the gastrointestinal tract. Somatostatin also affects rates of neurotransmission in the central nervous system and proliferation of both normal and tumorigenic cells.


Aliases:    SMST    

Entrez GeneID:    6750    

Swissprot:    P61278    

WB Predicted band size:    12.7kDa    

Host/Isotype:    Mouse IgG1    

Species Reactivity:    Human,Mouse,Rat    

Immunogen:    Purified recombinant fragment of human SST (AA: 1-116) expressed in E. Coli.    

Operation

IHC    1/200 - 1/1000    

FCM    1/200 - 1/400    

ELISA    1/10000    

References