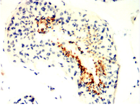
| SKU | Name | Unit | Price | Delivery | QTY |
|---|---|---|---|---|---|
| AC3564 | SPATA19 Mouse Monoclonal antibody[5F5A1] | 100ug | $367 | 10days |
|
| AC3564 | SPATA19 Mouse Monoclonal antibody[5F5A1] | 200ug | $660.6 | 10days |
|

WeChat