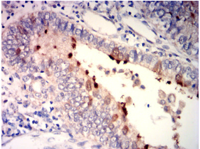
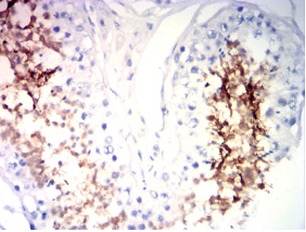
SP17 Mouse Monoclonal antibody[1C4C7]

AccuSift
CT22; SP17; SP17-1
SKU Name Unit Price Delivery QTY
AC3561 SP17 Mouse Monoclonal antibody[1C4C7] 100ug $367 10days
AC3561 SP17 Mouse Monoclonal antibody[1C4C7] 200ug $660.6 10days

This gene encodes a protein present at the cell surface. The N-terminus has sequence similarity to human cAMP-dependent protein kinase A (PKA) type II alpha regulatory subunit (RIIa) while the C-terminus has an IQ calmodulin-binding motif. The central portion of the protein has carbohydrate binding motifs and likely functions in cell-cell adhesion. The protein was initially characterized by its involvement in the binding of sperm to the zona pellucida of the oocyte. Recent studies indicate that it is also involved in additional cell-cell adhesion functions such as immune cell migration and metastasis. A retrotransposed pseudogene is present on chromosome 10q22.[provided by RefSeq, Jan 2009]


Aliases:    CT22; SPA17; SP17-1    

Entrez GeneID:    53340    

Swissprot:    Q15506    

WB Predicted band size:    17.4kDa    

Host/Isotype:    Mouse IgG1     

Species Reactivity:    Human    

Immunogen:    Purified recombinant fragment of human SP17 (AA: 1-152) expressed in E. Coli.    

Operation

IHC    1/200-1/1000    

FCM    1/200-1/400    

ELISA    1/10000    

References