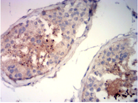
SP10 Mouse Monoclonal antibody[5E3D6]

AccuSift
ACRV1,SP-10; SPACA2; D11S4366
SKU Name Unit Price Delivery QTY
AC3560 SP10 Mouse Monoclonal antibody[5E3D6] 100ug $367 10days
AC3560 SP10 Mouse Monoclonal antibody[5E3D6] 200ug $660.6 10days

This gene encodes a testis-specific, differentiation antigen, acrosomal vesicle protein 1, that arises within the acrosomal vesicle during spermatogenesis, and is associated with the acrosomal membranes and matrix of mature sperm. The acrosomal vesicle protein 1 may be involved in sperm-zona binding or penetration. Alternatively spliced transcript variants have been described.


Aliases:    ACRV1,SP-10; SPACA2; D11S4365    

Entrez GeneID:    56    

Swissprot:    P26436    

WB Predicted band size:    28kDa    

Host/Isotype:    Mouse IgG1    

Species Reactivity:    Human    

Immunogen:    Purified recombinant fragment of human SP10 (AA: 22-265) expressed in E. Coli.    


Operation

IHC    1/200-1/1000    

FCM    1/200-1/400    

ELISA    1/10000    

References