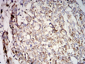
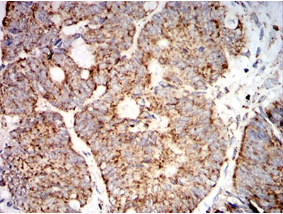
SOD2 Mouse Monoclonal antibody[8H3F9]

AccuSift
IPOB; IPO-B; MNSOD; MVCD6; Mn-SOD
SKU Name Unit Price Delivery QTY
AC3549 SOD2 Mouse Monoclonal antibody[8H3F9] 100ug $367 10days
AC3549 SOD2 Mouse Monoclonal antibody[8H3F9] 200ug $660.6 10days

This gene is a member of the iron/manganese superoxide dismutase family. It encodes a mitochondrial protein that forms a homotetramer and binds one manganese ion per subunit. This protein binds to the superoxide byproducts of oxidative phosphorylation and converts them to hydrogen peroxide and diatomic oxygen. Mutations in this gene have been associated with idiopathic cardiomyopathy (IDC), premature aging, sporadic motor neuron disease, and cancer. Alternative splicing of this gene results in multiple transcript variants. A related pseudogene has been identified on chromosome 1.


Aliases:    IPOB; IPO-B; MNSOD; MVCD6; Mn-SOD    

Entrez GeneID:    6648    

Swissprot:    P04179    

WB Predicted band size:   24.7kDa    

Host/Isotype:    Mouse IgG1    

Species Reactivity:    Human    

Immunogen:    Purified recombinant fragment of human SOD2 (AA: 1-222) expressed in E. Coli.    

Operation

WB    1/500 - 1/2000    

IHC    1/200 - 1/1000    

FCM    1/200 - 1/400    

ELISA    1/10000    

References