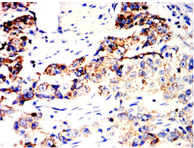
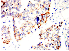
SOCS3 Mouse Monoclonal antibody[3A16]

AccuSift
CIS3; SSI3; ATOD4; Cish3; SSI-3; SOCS-3
SKU Name Unit Price Delivery QTY
AC3545 SOCS3 Mouse Monoclonal antibody[3A16] 100ug $367 10days
AC3545 SOCS3 Mouse Monoclonal antibody[3A16] 200ug $660.6 10days

This gene encodes a member of the STAT-induced STAT inhibitor (SSI), also known as suppressor of cytokine signaling (SOCS), family. SSI family members are cytokine-inducible negative regulators of cytokine signaling. The expression of this gene is induced by various cytokines, including IL6, IL10, and interferon (IFN)-gamma. The protein encoded by this gene can bind to JAK2 kinase, and inhibit the activity of JAK2 kinase. Studies of the mouse counterpart of this gene suggested the roles of this gene in the negative regulation of fetal liver hematopoiesis, and placental development.


Aliases:    CIS3; SSI3; ATOD4; Cish3; SSI-3; SOCS-3    

Entrez GeneID:    9021    

Swissprot:    O14543     

WB Predicted band size:    24.8KDa    

Host/Isotype:    Mouse IgG1    

Species Reactivity:    Human    

Immunogen:    Purified recombinant fragment of human SOCS3 (AA: full(1-225)) expressed in E. Coli.    

Operation

WB    1/500 - 1/2000    

IHC    1/200 - 1/1000    

IF/ICC    1/200 - 1/1000    

FCM    1/200 - 1/400    

ELISA    1/10000    

References