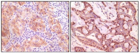
SNCG (breast cancer-specific protein 1) Mouse Monoclonal antibody[1H122]

AccuSift
SR; BCSG1; SNCG
SKU Name Unit Price Delivery QTY
AC3543 SNCG (breast cancer-specific protein 1) Mouse Monoclonal antibody[1H122] 100ug $367 10days
AC3543 SNCG (breast cancer-specific protein 1) Mouse Monoclonal antibody[1H122] 200ug $660.6 10days

SNCG(also designated gamma-synuclein or breast cancer-specific protein 1),with 127-amino acid protein(about 14kDa), belongs to the synuclein family, which also includes alpha- and beta- synuclein.Three synucleins are located in the neuronal cytosol and enriched in presynaptic terminals,while SNCG is also expressed in many other non-neuronal tissues. SNCG is abnormally expressed in a high percentage of tumor tissues of diversified cancer types, including liver, esophagus, colon, gastric, lung, prostate, cervical, and breast cancer, but rarely expressed in tumor-matched nonneoplastic adjacent tissues. High levels of SNCG have been identified in advanced breast carcinomas suggesting a correlation between overexpression of SNCG and breast tumor development.


Aliases:    SR; BCSG1    

Entrez GeneID:    6623    

Swissprot:    O76070    

Host/Isotype:    Mouse IgG1    

Species Reactivity:    Human    

Immunogen:    Purified recombinant fragment of SNCG expressed in E. Coli.    

Operation

IHC    1/200 - 1/1000    

ELISA    1/10000    

References