SMN1 Mouse Monoclonal antibody[5H1D3]

AccuSift
SMA; SMN; SMA1; SMA2; SMA3; SMA4; SMA@; SMN2; SMNT; BCD541; T-BCD541
SKU Name Unit Price Delivery QTY
AC3537 SMN1 Mouse Monoclonal antibody[5H1D3] 100ug $367 10days
AC3537 SMN1 Mouse Monoclonal antibody[5H1D3] 200ug $660.6 10days

This gene is part of a 500 kb inverted duplication on chromosome 5q13. This duplicated region contains at least four genes and repetitive elements which make it prone to rearrangements and deletions. The repetitiveness and complexity of the sequence have also caused difficulty in determining the organization of this genomic region. The telomeric and centromeric copies of this gene are nearly identical and encode the same protein.


Aliases:    SMA; SMN; SMA1; SMA2; SMA3; SMA4; SMA@; SMN2; SMNT; BCD541; T-BCD541    

Entrez GeneID:    6606    

Swissprot:    Q16637    

WB Predicted band size:    39kDa    

Host/Isotype:    Mouse IgG1    

Species Reactivity:    Human,Monkey    

Immunogen:    Purified recombinant fragment of human SMN1 expressed in E. Coli.    

Operation

WB    1/500 - 1/2000    

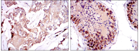
IHC    1/200 - 1/1000    

IF/ICC    1/200 - 1/1000    

ELISA    1/10000    

References