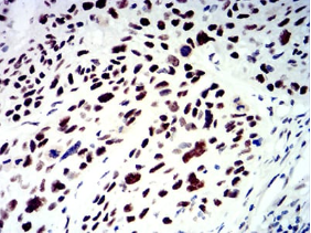
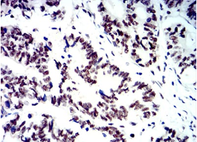
SMARCA1 Mouse Monoclonal antibody[2H7B8]

AccuSift
SWI; ISWI; SWI2; SNF2L; SNF2L1; SNF2LB; SNF2LT; hSNF2L; NURF140
SKU Name Unit Price Delivery QTY
AC3532 SMARCA1 Mouse Monoclonal antibody[2H7B8] 100ug $367 10days
AC3532 SMARCA1 Mouse Monoclonal antibody[2H7B8] 200ug $660.6 10days

This gene encodes a member of the SWI/SNF family of proteins. The encoded protein is an ATPase which is expressed in diverse tissues and contributes to the chromatin remodeling complex that is involved in transcription. The protein may also play a role in DNA damage, growth inhibition and apoptosis of cancer cells. Alternative splicing results in multiple transcript variants.


Aliases:    SWI; ISWI; SWI2; SNF2L; SNF2L1; SNF2LB; SNF2LT; hSNF2L; NURF140    

Entrez GeneID:    6594    

Swissprot:    P28370    

WB Predicted band size:    122.6kDa    

Host/Isotype:    Mouse IgG1    

Species Reactivity:    Human,Mouse    

Immunogen:    Purified recombinant fragment of human SMARCA1 (AA: 933-1070) expressed in E. Coli.    

Operation

WB    1/500 - 1/2000    

IHC    1/200 - 1/1000    

FCM    1/200 - 1/400    

ELISA    1/10000    

References