| SKU | Name | Unit | Price | Delivery | QTY |
|---|---|---|---|---|---|
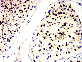
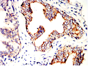
| AC3520 | SLC7A3 Mouse Monoclonal antibody[6H3B7] | 100ug | $367 | 10days |
|
| AC3520 | SLC7A3 Mouse Monoclonal antibody[6H3B7] | 200ug | $660.6 | 10days |
|

WeChat