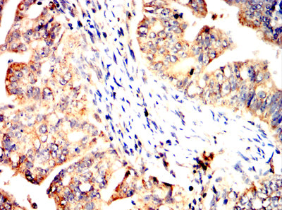
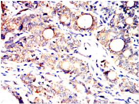
| SKU | Name | Unit | Price | Delivery | QTY |
|---|---|---|---|---|---|
| AC3515 | SLC2A14 Mouse Monoclonal antibody[8E10E] | 100ug | $367 | 10days |
|
| AC3515 | SLC2A14 Mouse Monoclonal antibody[8E10E] | 200ug | $660.6 | 10days |
|

WeChat