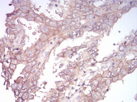
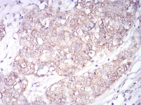
SK2 Mouse Monoclonal antibody[9C5E1]

AccuSift
SPHK2; SK-2; SPK 2; SPK-2
SKU Name Unit Price Delivery QTY
AC3504 SK2 Mouse Monoclonal antibody[9C5E1] 100ug $367 10days
AC3504 SK2 Mouse Monoclonal antibody[9C5E1] 200ug $660.6 10days

This gene encodes one of two sphingosine kinase isozymes that catalyze the phosphorylation of sphingosine into sphingosine 1-phosphate. Sphingosine 1-phosphate mediates many cellular processes including migration, proliferation and apoptosis, and also plays a role in several types of cancer by promoting angiogenesis and tumorigenesis. The encoded protein may play a role in breast cancer proliferation and chemoresistance. Alternatively spliced transcript variants encoding multiple isoforms have been observed for this gene.


Aliases:    SPHK2; SK-2; SPK 2; SPK-2    

Entrez GeneID:    56848    

Swissprot :   Q9NRA0    

WB Predicted band size:    69.2kDa    

Host/Isotype:    Mouse IgG1    

Species Reactivity:    Human    

Immunogen:    Synthesized peptide of human SK2 (AA: 36-52).    


Operation

IHC    1/200 - 1/1000    

IF/ICC    1/200 - 1/1000    

FCM    1/200 - 1/400    

ELISA    1/10000    

References