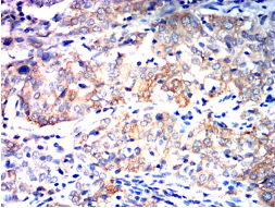
siglec15 Mouse Monoclonal antibody[3F7F3]

AccuSift
CD33L3; HsT1361; SIGLEC-15
SKU Name Unit Price Delivery QTY
AC3491 siglec15 Mouse Monoclonal antibody[3F7F3] 100ug $367 10days
AC3491 siglec15 Mouse Monoclonal antibody[3F7F3] 200ug $660.6 10days

SIGLEC15 (Sialic Acid Binding Ig Like Lectin 15) is a Protein Coding gene. Diseases associated with SIGLEC15 include Osteoporosis, Juvenile and Osteoporosis. Among its related pathways are Innate Immune System and RET signaling. An important paralog of this gene is SIGLEC1.


Aliases:    CD33L3; HsT1361; SIGLEC-15    

Entrez GeneID:    284266    

Swissprot:    Q6ZMC9    

WB Predicted band size :   35.7kDa    

Host/Isotype :   Mouse IgG1    

Species Reactivity :   Human, Monkey    

Immunogen:    Purified recombinant fragment of human Siglec15 (AA: Extra(20-263)) expressed in Mammal.    

Operation

WB    1/500 - 1/2000    

IHC    1/200 - 1/1000    

IF/ICC    1/200 - 1/1000    

FCM    1/200 - 1/400    

ELISA    1/10000    

References