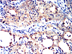
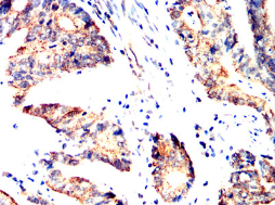
SH2B2 Mouse Monoclonal antibody[5E117]

AccuSift
APS
SKU Name Unit Price Delivery QTY
AC3484 SH2B2 Mouse Monoclonal antibody[5E117] 100ug $367 10days
AC3484 SH2B2 Mouse Monoclonal antibody[5E117] 200ug $660.6 10days

The protein encoded by this gene is expressed in B lymphocytes and contains pleckstrin homology and src homology 2 (SH2) domains. In Burkitt's lymphoma cell lines, it is tyrosine-phosphorylated in response to B cell receptor stimulation. Because it binds Shc independent of stimulation and Grb2 after stimulation, it appears to play a role in signal transduction from the receptor to the Shc/Grb2 pathway.


Aliases:    APS    

Entrez GeneID:    10603    

Swissprot :   O14492     

WB Predicted band size:    67.7kDa    

Host/Isotype :   Mouse IgG2b    

Species Reactivity:    Human    

Immunogen :   Purified recombinant fragment of human SH2B2 (AA: 497-676) expressed in E. Coli.  

Operation

IHC    1/200 - 1/1000    

FCM    1/200 - 1/400    

ELISA    1/10000    

References