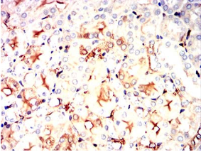
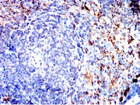
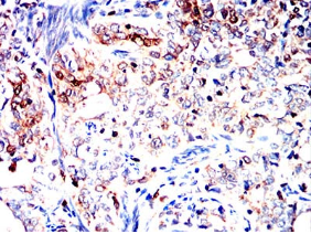
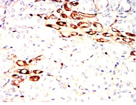
S100A4 Mouse Monoclonal antibody[4A5A7]

AccuSift
42A; 18A2; CAPL; FSP1; MTS1; P9KA; PEL98
SKU Name Unit Price Delivery QTY
AC3426 S100A4 Mouse Monoclonal antibody[4A5A7] 100ug $367 10days
AC3426 S100A4 Mouse Monoclonal antibody[4A5A7] 200ug $660.6 10days

The protein encoded by this gene is a member of the S100 family of proteins containing 2 EF-hand calcium-binding motifs. S100 proteins are localized in the cytoplasm and/or nucleus of a wide range of cells, and involved in the regulation of a number of cellular processes such as cell cycle progression and differentiation. S100 genes include at least 13 members which are located as a cluster on chromosome 1q21. This protein may function in motility, invasion, and tubulin polymerization. Chromosomal rearrangements and altered expression of this gene have been implicated in tumor metastasis. Multiple alternatively spliced variants, encoding the same protein, have been identified.


Aliases:    42A; 18A2; CAPL; FSP1; MTS1; P9KA; PEL98    

Entrez GeneID:    6275    

Swissprot:    P26447    

WB Predicted band size:    11.7kDa    

Host/Isotype:    Mouse IgG1      

Species Reactivity:    Human, Mouse, Rat    

Immunogen:    Purified recombinant fragment of human S100A4 (AA: 2-101) expressed in E. Coli.    

Operation

IHC    1/200 - 1/1000    

FCM    1/200 - 1/400    

ELISA    1/10000    

References