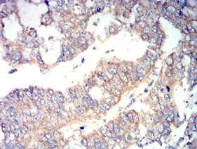
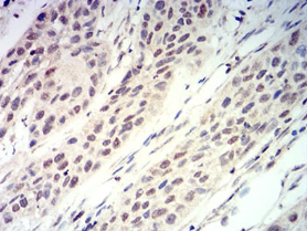
RUNX3 Mouse Monoclonal antibody[7E2B8]

AccuSift
AML2; CBFA3; PEBP2aC
SKU Name Unit Price Delivery QTY
AC3421 RUNX3 Mouse Monoclonal antibody[7E2B8] 100ug $367 10days
AC3421 RUNX3 Mouse Monoclonal antibody[7E2B8] 200ug $660.6 10days

This gene encodes a member of the runt domain-containing family of transcription factors. A heterodimer of this protein and a beta subunit forms a complex that binds to the core DNA sequence 5'-PYGPYGGT-3' found in a number of enhancers and promoters, and can either activate or suppress transcription. It also interacts with other transcription factors. It functions as a tumor suppressor, and the gene is frequently deleted or transcriptionally silenced in cancer. Alternative splicing results in multiple transcript variants.


Aliases:    AML2; CBFA3; PEBP2aC    

Entrez GeneID:    864    

Swissprot:    Q13761    

WB Predicted band size:    44.4kDa    

Host/Isotype:    Mouse IgG2b    

Species Reactivity:    Human    

Immunogen:    Purified recombinant fragment of human RUNX3 (AA: 294-429) expressed in E. Coli.    

Operation

IHC    1/200 - 1/1000    

IF/ICC    1/50 - 1/250    

FCM    1/200 - 1/400    

ELISA    1/10000    

References