RSK1 Mouse Monoclonal antibody[10B1D]

AccuSift
RSK; HU-1; RSK1; MAPKAPK1A; RPS6KA1
SKU Name Unit Price Delivery QTY
AC3410 RSK1 Mouse Monoclonal antibody[10B1D] 100ug $367 10days
AC3410 RSK1 Mouse Monoclonal antibody[10B1D] 200ug $660.6 10days

Rsk1 is a member of a family of 90kDa ribosomal protein S6 kinases, which includes Rsk1, Rsk2 and Rsk3. These are broadly expressed serine / threonine protein kinases activated in response to mitogenic stimuli, including extracellular signal regulated protein kinases Erk1 and Erk2. Rsk1 is activated by MAPK in vitro and in vivo via phosphorylation. Active Rsks appear to play a major role in transcriptional regulation by translocating to the nucleus and phosphorylating c-Fos and CREB. RSK proteins possess two separate kinase domains, the C terminal kinase domain and the N terminal kinase domain, separated by a linker region containing a hydrophobic motif. RSK is activated by many stimuli including growth factors, phorbol esters, cAMP, heat shock, and irradiation.


Aliases:    RSK; HU-1; RSK1; MAPKAPK1A; RPS6KA1    

Entrez GeneID:    6195    

Swissprot:   Q15418    

Host/Isotype:    Mouse IgG2b      

Species Reactivity:    Human    

Immunogen:    Purified recombinant fragment of human RSK1 expressed in E. Coli.    

Operation

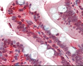
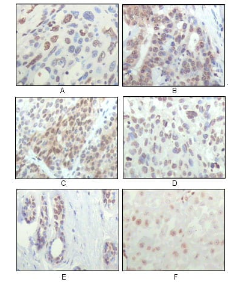
IHC    1/200 - 1/1000    

ELISA    1/10000    

References