| SKU | Name | Unit | Price | Delivery | QTY |
|---|---|---|---|---|---|
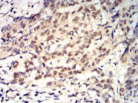
| AC3398 | ROP1 Mouse Monoclonal antibody[4A7E1] | 100ug | $367 | 10days |
|
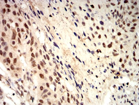
| AC3398 | ROP1 Mouse Monoclonal antibody[4A7E1] | 200ug | $660.6 | 10days |
|

WeChat