RHOA Mouse Monoclonal antibody[7E7H4]

AccuSift
ARHA; ARH12; RHO12; EDFAOB; RHOH12
SKU Name Unit Price Delivery QTY
AC3382 RHOA Mouse Monoclonal antibody[7E7H4] 100ug $367 10days
AC3382 RHOA Mouse Monoclonal antibody[7E7H4] 200ug $660.6 10days

This gene encodes a member of the Rho family of small GTPases, which cycle between inactive GDP-bound and active GTP-bound states and function as molecular switches in signal transduction cascades. Rho proteins promote reorganization of the actin cytoskeleton and regulate cell shape, attachment, and motility. Overexpression of this gene is associated with tumor cell proliferation and metastasis. Multiple alternatively spliced variants have been identified. [provided by RefSeq, Sep 2015]


Aliases:    ARHA; ARH12; RHO12; EDFAOB; RHOH12    

Entrez GeneID:    387    

Swissprot:    P61586    

WB Predicted band size:    22kDa    

Host/Isotype:    Mouse IgG2b    

Species Reactivity:    Human    

Immunogen:    Purified recombinant fragment of human RHOA (AA: 1-190) expressed in E. Coli.    

Operation

WB    1/500 - 1/2000    

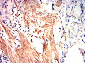
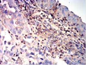
IHC    1/200 - 1/1000    

IF/ICC    1/200 - 1/1000    

FCM    1/200 - 1/400    

ELISA    1/10000    

References