REG1A Mouse Monoclonal antibody[1A4G9]

AccuSift
P19; PSP; PTP; REG; ICRF; PSPS; PSPS1; MGC12447; REG1A
SKU Name Unit Price Delivery QTY
AC3376 REG1A Mouse Monoclonal antibody[1A4G9] 100ug $367 10days
AC3376 REG1A Mouse Monoclonal antibody[1A4G9] 200ug $660.6 10days

REG1A (regenerating islet-derived 1 alpha), also known as PTP, PSP, is a member of the Reg family of secreted proteins with a C-type lectin domain. REG1A is associated with islet cell regeneration and diabetogenesis and may be involved in pancreatic lithogenesis.Due to variable glycosylation, pancreatic REG1A exists as multiple species of 16 - 18 kDa. REG1A promotes the maintenance and growth of pancreatic islet

  

Aliases:    P19; PTP; PSP    

Entrez GeneID:    5967    

WB Predicted band size:    19kDa    

Host/Isotype:    Mouse IgG1    

Species Reactivity:    Human    

Immunogen:    Purified recombinant fragment of human REG1A fused with hIgGFc tag expressed in HEK293 cell line.    

Operation

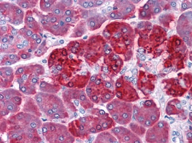
IHC    1/200 - 1/1000    

IF/ICC    1/200 - 1/1000    

ELISA    1/10000    

References