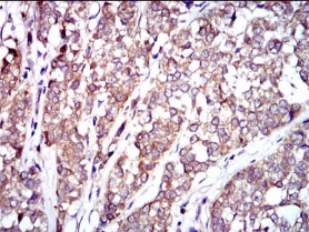
RAF1 Mouse Monoclonal antibody[4G4E5]

AccuSift
NS5; CRAF; Raf-1; c-Raf
SKU Name Unit Price Delivery QTY
AC3351 RAF1 Mouse Monoclonal antibody[4G4E5] 100ug $367 10days
AC3351 RAF1 Mouse Monoclonal antibody[4G4E5] 200ug $660.6 10days

This gene is the cellular homolog of viral raf gene (v-raf). The encoded protein is a MAP kinase kinase kinase (MAP3K), which functions downstream of the Ras family of membrane associated GTPases to which it binds directly. Once activated, the cellular RAF1 protein can phosphorylate to activate the dual specificity protein kinases MEK1 and MEK2, which in turn phosphorylate to activate the serine/threonine specific protein kinases, ERK1 and ERK2. Activated ERKs are pleiotropic effectors of cell physiology and play an important role in the control of gene expression involved in the cell division cycle, apoptosis, cell differentiation and cell migration. Mutations in this gene are associated with Noonan syndrome 5 and LEOPARD syndrome 2.


Aliases:    NS5; CRAF; Raf-1; c-Raf    

Entrez GeneID:    5894    

Swissprot:    P04049    

WB Predicted band size:    73kDa    

Host/Isotype:    Mouse IgG1    

Species Reactivity:    Human    

Immunogen:    Purified recombinant fragment of human RAF1 expressed in E. Coli.    

Operation

WB    1/500 - 1/2000    

IHC    1/200 - 1/1000    

FCM    1/200 - 1/400    

ELISA    1/10000    

References