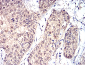
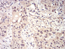
RAD23A Mouse Monoclonal antibody[3E3F4]

AccuSift
HR23A; HHR23A
SKU Name Unit Price Delivery QTY
AC3343 RAD23A Mouse Monoclonal antibody[3E3F4] 100ug $367 10days
AC3343 RAD23A Mouse Monoclonal antibody[3E3F4] 200ug $660.6 10days

The protein encoded by this gene is one of two human homologs of Saccharomyces cerevisiae Rad23, a protein involved in nucleotide excision repair. Proteins in this family have a modular domain structure consisting of an ubiquitin-like domain (UbL), ubiquitin-associated domain 1 (UbA1), XPC-binding domain and UbA2. The protein encoded by this gene plays an important role in nucleotide excision repair and also in delivery of polyubiquitinated proteins to the proteasome. Alternative splicing results in multiple transcript variants encoding multiple isoforms.


Aliases:    HR23A; HHR23A    

Entrez GeneID:    5886    

Swissprot :   P54725    

WB Predicted band size:    40kDa    

Host/Isotype:    Mouse IgG2b    

Species Reactivity:    Human    

Immunogen:    Purified recombinant fragment of human RAD23A (AA: 1-363) expressed in E. Coli.    

Operation

IHC    1/200 - 1/1000    

FCM    1/200 - 1/400    

ELISA    1/10000    

References