RAD21 Mouse Monoclonal antibody[1B6D1]

AccuSift
HR21; MCD1; NXP1; SCC1; CDLS4; hHR21; HRAD21
SKU Name Unit Price Delivery QTY
AC3341 RAD21 Mouse Monoclonal antibody[1B6D1] 100ug $367 10days
AC3341 RAD21 Mouse Monoclonal antibody[1B6D1] 200ug $660.6 10days

The protein encoded by this gene is highly similar to the gene product of Schizosaccharomyces pombe rad21, a gene involved in the repair of DNA double-strand breaks, as well as in chromatid cohesion during mitosis. This protein is a nuclear phospho-protein, which becomes hyperphosphorylated in cell cycle M phase. The highly regulated association of this protein with mitotic chromatin specifically at the centromere region suggests its role in sister chromatid cohesion in mitotic cells.


Aliases:    HR21; MCD1; NXP1; SCC1; CDLS4; hHR21; HRAD21    

Entrez GeneID:    5885    

Swissprot :   O60216      

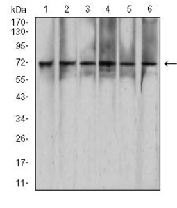
WB Predicted band size:    71.7kDa    

Host/Isotype:    Mouse IgG1    

Species Reactivity:    Human,Rat,Monkey    

Immunogen:    Purified recombinant fragment of human RAD21 (AA: 287-403) expressed in E. Coli.    

Operation

WB    1/500 - 1/2000    

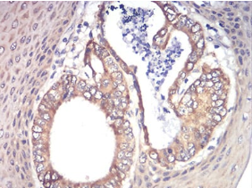
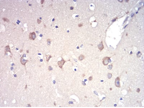
IHC    1/200 - 1/1000    

IF/ICC    1/200 - 1/1000    

FCM    1/200 - 1/400    

ELISA    1/10000    

References