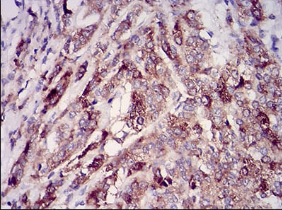
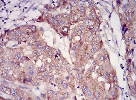
RAB27A Mouse Monoclonal antibody[7D7C9]

AccuSift
GS2; RAM; RAB27; HsT18676
SKU Name Unit Price Delivery QTY
AC3327 RAB27A Mouse Monoclonal antibody[7D7C9] 100ug $367 10days
AC3327 RAB27A Mouse Monoclonal antibody[7D7C9] 200ug $660.6 10days

The protein encoded by this gene belongs to the small GTPase superfamily, Rab family. The protein is membrane-bound and may be involved in protein transport and small GTPase mediated signal transduction. Mutations in this gene are associated with Griscelli syndrome type 2. Alternative splicing occurs at this locus and four transcript variants encoding the same protein have been identified.


Aliases:    GS2; RAM; RAB27; HsT18676    

Entrez GeneID:    5873    

Swissprot :   P51159    

WB Predicted band size:    24.9kDa    

Host/Isotype:    Mouse IgG2b    

Species Reactivity:    Human    

Immunogen:    Purified recombinant fragment of human RAB27A (AA: FULL(1-221)) expressed in E. Coli.    

Operation

IHC    1/200 - 1/1000    

ELISA    1/10000    

References