Rab25 Mouse Monoclonal antibody[3F543]

AccuSift
CATX-8; RAB25
SKU Name Unit Price Delivery QTY
AC3325 Rab25 Mouse Monoclonal antibody[3F543] 100ug $367 10days
AC3325 Rab25 Mouse Monoclonal antibody[3F543] 200ug $660.6 10days

Members of the Ras-related superfamily of GTP binding proteins, which includes Ras, Rho, Rab and ARF subfamilies, exhibit 30-50% similarity with Ras p21. Rab proteins play an important role for either in endocytosis or in biosynthetic protein transport. The possibility that Rab proteins might also direct the exocytosis from secretory vesicles to the plasma membrane is supported by the observation that in yeast, the SEC4 protein, which is 40% similar to Rab proteins, is associated with secretory vesicles. Rab proteins located on the cytoplasmic face of organelles and vesicles, rab proteins are involved in intracellular membrane fusion reactions. Rab25 was cloned from a gastric parietal cell cDNA library and is expressed in epithelial tissues such as the gastrointestinal mucosae, kidney, and lung, which encoded a protein of 28 kDa.


Aliases:    CATX-8; RAB25    

Entrez GeneID:    57111    

Swissprot:    P57735    

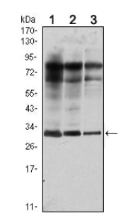
WB Predicted band size:    24kDa    

Host/Isotype:    Mouse IgG1     

Species Reactivity:    Human,Mouse    

Immunogen:    Purified recombinant fragment of Rab25 expressed in E. Coli.    

Operation

WB    1/500 - 1/2000    

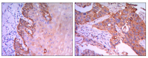
IHC    1/200 - 1/1000    

IF/ICC    1/200 - 1/1000    

FCM    1/200 - 1/400    

ELISA    1/10000    

References