Rab1b Mouse Monoclonal antibody[7A12G]

AccuSift
SKU Name Unit Price Delivery QTY
AC3323 Rab1b Mouse Monoclonal antibody[7A12G] 100ug $367 10days
AC3323 Rab1b Mouse Monoclonal antibody[7A12G] 200ug $660.6 10days

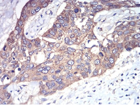
Members of the RAB protein family, such as RAB1B, are low molecular mass monomeric GTPases localized on the cytoplasmic surfaces of distinct membrane-bound organelles. RAB1B functions in the early secretory pathway and is essential for vesicle transport between the endoplasmic reticulum (ER) and Golgi

Entrez GeneID:    81876    

Swissprot:    Q9H0U4      

WB Predicted band size:    22.2kDa    

Host/Isotype:    Mouse IgG2b    

Species Reactivity:    Human    

Immunogen:    Purified recombinant fragment of human Rab1b (AA: 60-201) expressed in E. Coli.    

Operation

IHC    1/200 - 1/1000    

FCM    1/200 - 1/400    

ELISA    1/10000    

References