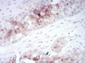
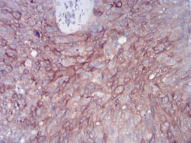
RAB11FIP1 Mouse Monoclonal antibody[3A12H]

AccuSift
RCP; NOEL1A; rab11-FIP1
SKU Name Unit Price Delivery QTY
AC3320 RAB11FIP1 Mouse Monoclonal antibody[3A12H] 100ug $367 10days
AC3320 RAB11FIP1 Mouse Monoclonal antibody[3A12H] 200ug $660.6 10days

This gene encodes one of the Rab11-family interacting proteins (Rab11-FIPs), which play a role in the Rab-11 mediated recycling of vesicles. The encoded protein may be involved in endocytic sorting, trafficking of proteins including integrin subunits and epidermal growth factor receptor (EGFR), and transport between the recycling endosome and the trans-Golgi network. Alternative splicing results in multiple transcript variants. A pseudogene is described on the X chromosome


Aliases:    RCP; NOEL1A; rab11-FIP1    

Entrez GeneID:    80223    

Swissprot :   Q6WKZ4    

WB Predicted band size:    137.2kDa    

Host/Isotype:    Mouse IgG1     

Species Reactivity:    Human,Mouse    

Immunogen :   Purified recombinant fragment of human RAB11FIP1 (AA: 130-271) expressed in E. Coli.    

Operation

WB    1/500 - 1/2000    

IHC    1/200 - 1/1000    

FCM    1/200 - 1/400    

ELISA    1/10000    

References