PTPN14 Mouse Monoclonal antibody[2C12]

AccuSift
PEZ; PTP36
SKU Name Unit Price Delivery QTY
AC3307 PTPN14 Mouse Monoclonal antibody[2C12] 100ug $367 10days
AC3307 PTPN14 Mouse Monoclonal antibody[2C12] 200ug $660.6 10days

The protein encoded by this gene is a member of the protein tyrosine phosphatase (PTP) family. PTPs are known to be signaling molecules that regulate a variety of cellular processes including cell growth, differentiation, mitotic cycle, and oncogenic transformation. This PTP contains an N-terminal noncatalytic domain similar to that of band 4.1 superfamily cytoskeleton-associated proteins, which suggested the membrane or cytoskeleton localization of this protein. It appears to regulate lymphatic development in mammals, and a loss of function mutation has been found in a kindred with a lymphedema-choanal atresia.


Aliases:    PEZ; PTP36    

Entrez GeneID:    5784    

Swissprot:    Q15678      

WB Predicted band size:    135.3kDa    

Host/Isotype:    Mouse IgG1    

Species Reactivity:    Human    

Immunogen:    Purified recombinant fragment of human PTPN14 (AA: 896-1169) expressed in E. Coli.    

Operation

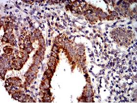
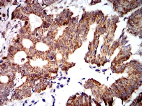
IHC    1/200 - 1/1000    

IF/ICC    1/200 - 1/1000    

FCM    1/200 - 1/400    

ELISA    1/10000    

References