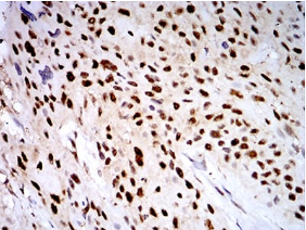
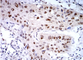
PSMC3 Mouse Monoclonal antibody[1G106]

AccuSift
TBP1
SKU Name Unit Price Delivery QTY
AC3293 PSMC3 Mouse Monoclonal antibody[1G106] 100ug $367 10days
AC3293 PSMC3 Mouse Monoclonal antibody[1G106] 200ug $660.6 10days

The 26S proteasome is a multicatalytic proteinase complex with a highly ordered structure composed of 2 complexes, a 20S core and a 19S regulator. The 20S core is composed of 4 rings of 28 non-identical subunits; 2 rings are composed of 7 alpha subunits and 2 rings are composed of 7 beta subunits. The 19S regulator is composed of a base, which contains 6 ATPase subunits and 2 non-ATPase subunits, and a lid, which contains up to 10 non-ATPase subunits. Proteasomes are distributed throughout eukaryotic cells at a high concentration and cleave peptides in an ATP/ubiquitin-dependent process in a non-lysosomal pathway. An essential function of a modified proteasome, the immunoproteasome, is the processing of class I MHC peptides. This gene encodes one of the ATPase subunits, a member of the triple-A family of ATPases that have chaperone-like activity. This subunit may compete with PSMC2 for binding to the HIV tat protein to regulate the interaction between the viral protein and the transcription complex. A pseudogene has been identified on chromosome 9.


Aliases:    TBP1    

Entrez GeneID:    5702    

Swissprot:    P17980    

WB Predicted band size:    49kDa    

Host/Isotype:    Mouse IgG1    

Species Reactivity:    Human,Rat,Monkey    

Immunogen:    Purified recombinant fragment of human PSMC3 (AA: 53-152) expressed in E. Coli.    


Operation

WB    1/500 - 1/2000    

IHC    1/200 - 1/1000    

IF/ICC    1/200 - 1/1000    

FCM    1/200 - 1/400    

ELISA    1/10000    

References