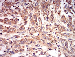
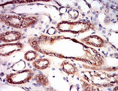
PRKAG1 Mouse Monoclonal antibody[7H3E9]

AccuSift
AMPKG
SKU Name Unit Price Delivery QTY
AC3270 PRKAG1 Mouse Monoclonal antibody[7H3E9] 100ug $367 10days
AC3270 PRKAG1 Mouse Monoclonal antibody[7H3E9] 200ug $660.6 10days

The protein encoded by this gene is a regulatory subunit of the AMP-activated protein kinase (AMPK). AMPK is a heterotrimer consisting of an alpha catalytic subunit, and non-catalytic beta and gamma subunits. AMPK is an important energy-sensing enzyme that monitors cellular energy status. In response to cellular metabolic stresses, AMPK is activated, and thus phosphorylates and inactivates acetyl-CoA carboxylase (ACC) and beta-hydroxy beta-methylglutaryl-CoA reductase (HMGCR), key enzymes involved in regulating de novo biosynthesis of fatty acid and cholesterol. This subunit is one of the gamma regulatory subunits of AMPK. Alternatively spliced transcript variants encoding distinct isoforms have been observed.


Aliases:    AMPKG    

Entrez GeneID :   5571    

Swissprot :   P54619    

WB Predicted band size:    37.6kDa    

Host/Isotype:    Mouse IgG1    

Species Reactivity:    Human    

Immunogen :   Purified recombinant fragment of human PRKAG1 (AA: 230-331) expressed in E. Coli.    

Operation

IHC    1/200 - 1/1000    

IF/ICC    1/200 - 1/1000    

FCM    1/200 - 1/400    

ELISA    1/10000    

References