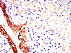
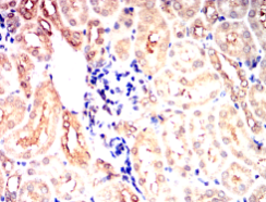
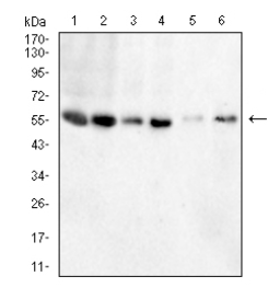
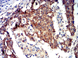
PRKAA2 Mouse Monoclonal antibody[8E11H5]

AccuSift
AMPK; AMPK2; PRKAA; AMPKa2
SKU Name Unit Price Delivery QTY
AC3263 PRKAA2 Mouse Monoclonal antibody[8E11H5] 100ug $367 10days
AC3263 PRKAA2 Mouse Monoclonal antibody[8E11H5] 200ug $660.6 10days

The protein encoded by this gene is a catalytic subunit of the AMP-activated protein kinase (AMPK). AMPK is a heterotrimer consisting of an alpha catalytic subunit, and non-catalytic beta and gamma subunits. AMPK is an important energy-sensing enzyme that monitors cellular energy status. In response to cellular metabolic stresses, AMPK is activated, and thus phosphorylates and inactivates acetyl-CoA carboxylase (ACC) and beta-hydroxy beta-methylglutaryl-CoA reductase (HMGCR), key enzymes involved in regulating de novo biosynthesis of fatty acid and cholesterol. Studies of the mouse counterpart suggest that this catalytic subunit may control whole-body insulin sensitivity and is necessary for maintaining myocardial energy homeostasis during ischemia.


Aliases:    AMPK; AMPK2; PRKAA; AMPKa2    

Entrez GeneID:    5563    

Swissprot:   P54646     

WB Predicted band size:    62.3kDa    

Host/Isotype:    Mouse IgG1    

Species Reactivity:    Human,Mouse,Rat,Monkey,Rabbit    

Immunoge:    Purified recombinant fragment of human PRKAA2 (AA: 453-552) expressed in E. Coli.    

Operation

WB    1/500 - 1/2000    

IHC    1/100 - 1/500    

IF/ICC    1/50 - 1/500    

FCM    1/200 - 1/400    

ELISA    1/10000    

References