PRK2 Mouse Monoclonal antibody[1D1D5]

AccuSift
PKN2; PAK2; PRK2; Pak-2; PRKCL2; PRO2042; MGC71074; MGC150606
SKU Name Unit Price Delivery QTY
AC3260 PRK2 Mouse Monoclonal antibody[1D1D5] 100ug $367 10days
AC3260 PRK2 Mouse Monoclonal antibody[1D1D5] 200ug $660.6 10days

Protein-kinase-C-related kinases (PRKs) are part of the lipid-regulated protein kinases (PKC) which also include liver PAK & PKN. Human PRK1 and PRK2 share structurally similar catalytic domains, but less similar N-terminal regulatory regions suggesting different regulatory domain functions. PRK1 and PRK2, as well as a third member of this family, PRK3, show distinct patterns of expression in adult tissues. Additionally, the serine-threonine kinase PRK2 can be specifically cleaved by caspase-3 (and/or caspase-3-like subfamily members) during apoptosis.


Aliases:    PKN2; PAK2; PRK2; Pak-2; PRKCL2; PRO2042; MGC71074; MGC150606    

Entrez GeneID:    5586    

Swissprot :   Q16513    

WB Predicted band size:    140kDa    

Host/Isotype:    Mouse IgG1    

Species Reactivity:    Human,Mouse,Rat,Monkey    

Immunogen:    Purified recombinant fragment of human PRK2 expressed in E. Coli.    

Operation

WB    1/500 - 1/2000    

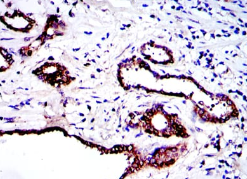
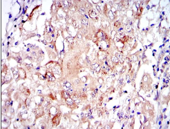
IHC    1/200 - 1/1000    

FCM    1/200 - 1/400    

ELISA    1/10000    

References