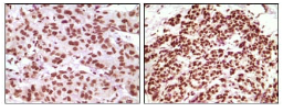
PR(progesterone receptor) Mouse Monoclonal antibody[2F12B]

AccuSift
PR; NR3C3; PGR
SKU Name Unit Price Delivery QTY
AC3247 PR(progesterone receptor) Mouse Monoclonal antibody[2F12B] 100ug $367 10days
AC3247 PR(progesterone receptor) Mouse Monoclonal antibody[2F12B] 200ug $660.6 10days

PR(progesterone receptor), with 933-amino acid protein (about 110kDa), a member of the steroid receptor superfamily, mediates the physiologic effects of progesterone, PR is mediated by two functionally different isoforms of the progesterone receptor, the full length PR-B and the short form PR-A. The PR-A and PR-B proteins are 94 kDa and 114 kDa respectively. That are equimolar in the normal breast but dysregulated in advanced disease. PR is prognostic markers in breast cancers irrespective of the patient's progestational status Human progesterone.

  

Aliases:   PR; NR3C3; PGR    

Entrez GeneID:    5241    

Swissprot:   P06401    

Host/Isotype:    Mouse IgG1    

Species Reactivity:    Human    

Immunogen:    Purified recombinant fragment of PR expressed in E. Coli.    

Operation

IHC    1/200 - 1/1000    

ELISA    1/10000    

References