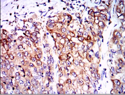
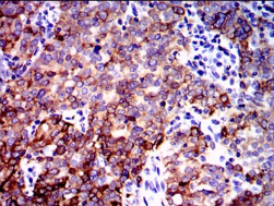
PPP2R4 Mouse Monoclonal antibody[4D9G]

AccuSift
PP2A; PR53; PTPA
SKU Name Unit Price Delivery QTY
AC3245 PPP2R4 Mouse Monoclonal antibody[4D9G] 100ug $367 10days
AC3245 PPP2R4 Mouse Monoclonal antibody[4D9G] 200ug $660.6 10days


Protein phosphatase 2A is one of the four major Ser/Thr phosphatases and is implicated in the negative control of cell growth and division. Protein phosphatase 2A holoenzymes are heterotrimeric proteins composed of a structural subunit A, a catalytic subunit C, and a regulatory subunit B. The regulatory subunit is encoded by a diverse set of genes that have been grouped into the B/PR55, B'/PR61, and B''/PR72 families. These different regulatory subunits confer distinct enzymatic specificities and intracellular localizations to the holozenzyme. The product of this gene belongs to the B' family. This gene encodes a specific phosphotyrosyl phosphatase activator of the dimeric form of protein phosphatase 2A. Alternative splicing results in multiple transcript variants encoding different isoforms.




Aliases:    PP2A; PR53; PTPA    

Entrez GeneID:    5524    

Swissprot:    Q15257    

WB Predicted band size:    41kDa    

Host/Isotype:    Mouse IgG1    

Species Reactivity:    Human    

Immunogen:    Purified recombinant fragment of human PPP2R4 expressed in E. Coli.    

Operation

IHC    1/200 - 1/1000    

IF/ICC    1/200 - 1/1000    

FCM    1/200 - 1/400    

ELISA    1/10000    

References