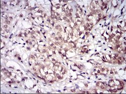
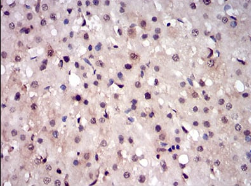
PPP1CB Mouse Monoclonal antibody[6G10]

AccuSift
PP1B; PP-1B; PPP1CD; PP1beta
SKU Name Unit Price Delivery QTY
AC3241 PPP1CB Mouse Monoclonal antibody[6G10] 100ug $367 10days
AC3241 PPP1CB Mouse Monoclonal antibody[6G10] 200ug $660.6 10days

The protein encoded by this gene is one of the three catalytic subunits of protein phosphatase 1 (PP1). PP1 is a serine/threonine specific protein phosphatase known to be involved in the regulation of a variety of cellular processes, such as cell division, glycogen metabolism, muscle contractility, protein synthesis, and HIV-1 viral transcription. Mouse studies suggest that PP1 functions as a suppressor of learning and memory. Two alternatively spliced transcript variants encoding distinct isoforms have been observed


Aliases:    PP1B; PP-1B; PPP1CD; PP1beta    

Entrez GeneID :   5500    

Swissprot:    P62140    

WB Predicted band size:    37.2kDa    

Host/Isotype:    Mouse IgG1    

Species Reactivity:    Human    

Immunogen:    Purified recombinant fragment of human PPP1CB (AA: 174-327) expressed in E. Coli.    

Operation

WB    1/500 - 1/2000    

IHC    1/200 - 1/1000    

FCM    1/200 - 1/400    

ELISA    1/10000    

References